Recherche & développement > Peau / Substitut cutané
Peau / Substitut cutané
Novotec a mené avec succès plusieurs projets de Recherche en collaboration avec des laboratoires académiques, des PME et des grands groupes internationaux.
Impliquée aussi bien dans des problématiques cliniques que dermatologiques et cosmétiques, la peau fait l'objet de nombreuses études sur le renouvellement, le remodelage et la cicatrisation/réparation tissulaire. S'appuyant sur ses compétences techniques et scientifiques, Novotec est intervenu dans des projets de Recherche de produits innovants. Des formulations de crèmes et d'huiles ont été testées en parallèle sur tissus fixés, sur cellules en culture et sur tissus in vitro.


Novotec a participé au suivi d'études expérimentales, précliniques et cliniques : évaluation de brûlures cutanées par irradiation, effets de molécules pharmaceutiques ou de pansements sur des peaux pathologiques (ex : psoriasis), traitement au laser sur des lésions induites par une chirurgie ou par des irradiations.


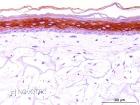
Novotec développe aussi des programmes de recherche en ingénierie tissulaire cutanée en collaboration avec des entreprises françaises et étrangères : caractérisation de substituts cutanés dermiques, épidermiques et dermo-épidermiques, implantations des substituts cutanés chez la souris nude (habilitation à la chirurgie sur les petits animaux, mise en place d'un consortium avec plusieurs entreprises et animaleries pour la prise en charge d'un projet pré-clinique complet) et analyse des prélèvements au cours d'études précliniques. La maîtrise des différentes techniques d'analyse tissulaire et cellulaire a permis de réaliser des études cinétiques, de biocompatibilité et d'intégration des substituts cutanés. Les étapes clés de la réparation cutanée (néo-vascularisation, ré-épithélialisation, remodelage matriciel, ...) ont pu être décrites aussi bien d'un point de vue génique que d'un point de vue protéique. L'ensemble de ces analyses a permis de répondre à trois questions essentielles : Qui, Quand et Où ?


Novotec a également collaboré à l'étude de la biocompatibilité et de la dégradation de biomatériaux. Après implantation ou injection de ces biomatériaux dans la peau (pansements, dermal fillers résorbables/permanents...), des colorations standards (HES, Trichrome Masson Goldner) et spécifiques (MGG) sur tissus inclus en paraffine ou en résine méthylmétacrylate (MMA) sont réalisées. Des analyses par des méthodes qualitative et semi-quantitative permettent d'évaluer la dégradation des biomatériaux et la réaction inflammatoire.
Ces expériences font de Novotec un spécialiste dans le domaine de la peau et des substituts cutanés.
References
- «»
- «In situ Hybridization to evaluate the wound healing process of a bilayered living cell-based construct (Apligraf®) in a nude mice model - 2010 june, TERMIS-EU, Galway, Ireland.»
Rousseau C. and Pagnon-Minot A., Guerret S., Hartmann D.J, Ronfard V. - «Short term integration on human bilayered living skin substitute (Apligraf®) grafted onto nude mice - 19th Annual Meeting of the Wound Healing Society with SAWC (Symposium on Advanced Wound Care) 2009 April 26-29, Gaylord Texan Resort and Convention Center, Dallas, Texas.»
Rousseau C., Thillou F., Pagnon-Minot A., Guerret S., Hartmann D.J, Ronfard V. - «Long term remodeling of a bilayered living human skin equivalent (Apligraf®) grafted onto nude mice: immunolocalization of human cells and characterization of extracellular matrix. Wound Rep. Reg. 2003, 11, 35-45.»
Guerret S., Govignon E., Hartmann D.J., Ronfard V. - «Keratinocytes influence the maturation and organization of the elastin network in a skin equivalent. J. Invest Dermatol 2000, 114, 365-370.»
Duplan-Perrat F., Damour O., Montrocher C., Peyrol S., Grenier G., Jacob M.P., Braye F. - «Host-Donor interactions in healing of human split-thickness skin grafts onto nude mice: in situ hybridization, immunohistochemical, and histochemical studies. Transplantation 1992, 53, 1002-1010. »
Plenat F., Vignaud J.M., Guerret-Stocker S., Hartmann D., Duprez K., Duprez A. - «The role of fibroblasts in dermal vascularization and remodeling of reconstructed human skin after transplantation onto the nude mouse. Transplantation 1992, 54, 317-326.»
Demarchez M., Hartmann D.J., Regnier M., Asselineau D. - «Changes in the elastic tissue of the non-sun-exposed skin of cigarette smokers. Br. J. Dermatol. 1991, 125, 43-47.»
Frances C., BoImnic S., Hartmann D.J., Dautzenberg B., Branchet M.C., Le Charpentier Y, Robert L. - «Immunohistochemical study of the biological fate of a subcutaneous bovine collagen implant in rat. Histochemistry 1989, 91, 177-184.»
Vialle-Presles M.J., Hartmann D.J., Franc S., Herbage D. - «The revascularization process of human skin transplanted onto the nude mouse. In : Progress in Basement Membrane Research. Renal and Related Aspects in Health and Disease. Gubler M.C., Sternberg M. Eds. John Libbey Eurotext, London 1988, 293-294.»
Démarchez M., Hartmann D.J., Pruniéras M. - «Immunofluorescent localization of collagen types I, III and IV, fibronectin, laminin, and basement membrane proteoglycan in developing mouse skin. Roux's Arch. Dev. Biol. 1987, 196, 295-302.»
Mauger A., Emonard H., Hartmann D.J., Foidart J.M., Sengel P. - «An immunohistological study of the revascularization process in human skin transplanted onto the nude mouse. Transplantation 1987, 43, 896-903.»
Demarchez M., Hartmann D.J., Prunieras M. - «Wound-healing of human-skin transplanted onto the nude-mouse. 2. an immunohistological and ultrastructural study of the epidermal basement-membrane zone reconstruction and connective-tissue reorganization. Dev. Biol. 1987, 121, 119-129.»
Demarchez M., Hartmann D.J., Herbage D., Ville G., Prunieras M. - «Collagen heterogeneity of thickened basement membranes of human diabetic dermis : tissular immunolabelling of collagen types I, III and IV by light and electron microscopy. Cell. Mol. Biol. 1984, 30, 43-57.»
Peyrol S., Hugues B., Grimaud J.A., Mornex R.
